Ansa Tecnologia
Giovedì 29 Gennaio 2026
Le cellule tumorali diventano più aggressive se sono compresse
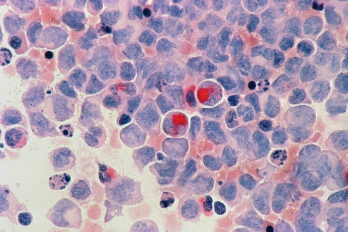
Le cellule tumorali diventano più aggressive quando vengono compresse : se ripetutamente deformate , attivano rapidamente il gene dello stress Atf3 e aumentano la loro invasività . Questa risposta è stata per la prima volta osservata in tempo reale grazie a un innovativo strumento messo a punto da un gruppo internazionale guidato dall'Italia , con l'Istituto Airc di Oncologia Molecolare (Ifom) di Milano, le Università di Perugia e di Milano, e l'Istituto Officina dei Materiali del Consiglio Nazionale delle Ricerche di Perugia.
Si tratta di una piattaforma di microscopia ottica che permette di stimolare meccanicamente le cellule cancerose e di vedere in simultanea la loro reazione . Il risultato, pubblicato sulla rivista Advanced Science, permetterà di comprendere meglio i meccanismi della progressione tumorale e apre a nuove possibili terapie per agire su di essi. Quando i tumori crescono, aumentano di pari passo gli stimoli fisici e meccanici che le cellule ricevono, ma studiare questi processi mentre accadono, in tempo reale e senza modificare le cellule, è estremamente difficile. Per superare questo ostacolo, i ricercatori coordinati da Giorgio Scita e Brenda Green dell'Ifom e da Silvia Caponi del Cnr-Iom hanno realizzato una piattaforma fotonica di nuova generazione.
© RIPRODUZIONE RISERVATA