Imbersago, ciclista 59enne travolto da un’auto: è ricoverato in chirurgia
L’uomo è stato investito alla rotatoria del centro sportivo. Trasportato in codice rosso, ha riportato gravi traumi toracici: prognosi di 30 giorni, non è in pericolo di vita
L’uomo è stato investito alla rotatoria del centro sportivo. Trasportato in codice rosso, ha riportato gravi traumi toracici: prognosi di 30 giorni, non è in pericolo di vita
I volontari non si fermano, offrendo ascolto e supporto per visite mediche, spesa e pasti a domicilio. Ma serve un aiuto dalle istituzioni e nuovi volontari.
Replicato in laboratorio uno dei possibili passaggi chiave che portò alla comparsa della vita sulla Terra : la produzione di proteine a partire dall’ Rna , la molecola braccio destro del Dna. A guidare l’esperimento, descritto sulla rivista Nature è …
Poco dopo le 18.30 di mercoledì è giunta la conferma dagli organi di Polizia tedeschi: sospese le ricerche nella zona di Uschione dove era stata trovata la sua auto
Dopo i danni di inizio agosto l’Amministrazione sollecita interventi urgenti alla Regione per la messa in sicurezza del territorio
Le truppe napoleoniche in ritirata dalla Russia nel 1812 non vennero decimate solo dal tifo , ma anche dal paratifo e da una febbre ricorrente trasmessa dai pidocchi : lo indica l’ analisi del Dna antico estratto dai denti di …
L’esemplare, nato nel 2023, è monitorato costantemente dai tecnici del parco dello Stelvio grazie a un radiocollare
Il bimbo è morto mentre era in vacanza con la famiglia ai lidi ferraresi, probabilmente a causa di una meningite fulminante. Claudio, papà di Eric, è stato un giocatore del Rugby Lecco. Sabato mattina i funerali nella parrocchiale di Caprino
Secondo quanto ricostruito, l’anziano avrebbe accusato un malore improvviso mentre si trovava sul sentiero che conduce alla Forcola, precipitando in un burrone per un’altezza stimata tra i 15 e i 20 metri.
Usare un cavatappi, impugnare una penna, tagliare con una forbice: l'intero repertorio dei movimenti complessi delle mani viene costruito dal cervello a partire da un piccolo numero di schemi motori di base , combinati così come le lettere dell'alfabeto vengono …
Nel cervello umano è presente una sorta di bussola che punta sempre a Nord . E' costituita da due regioni che tengono costantemente traccia della direzione di movimento in avanti ed è fondamentale per mantenere l'orientamento mentre ci si muove …
Capitale umano . La neuropsicologa Bocchiccio: «Pensare che tutti debbano funzionare nello stesso modo non è solo irrealistico: è pericoloso». I team inclusivi registrano +20% in innovazione e +30% in produttività
Nuovi potenziali bersagli terapeutici per il trattamento dell' Alzheimer sono stati scoperti grazie all’utilizzo di organoidi cerebrali , ovvero modelli del cervello che riproducono i meccanismi alla base della malattia . Lo studio, guidato dalla ShanghaiTech University in Cina e …
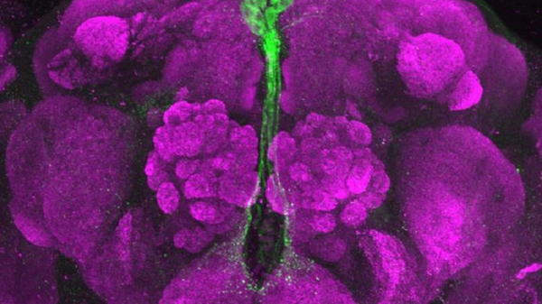
Per 35 milioni di anni hanno corteggiato le femmine con il canto, ma è bastato intervenire su un unico gene perché adottassero il comportamento di un'altra specie , offrendo dei doni: è una prima assoluta il risultato dell'esperimento pubblicato sulla …
Il locale confiscato alla ’ndrangheta nel 1994 era stato assegnato alla cordata Olinda, Auser e Arci. La cooperativa Il Grigio subentra alla realtà milanese
Da, oggi, 12 agosto al 7 settembre il dottor Pierangelo Bianco sarà disponibile tre volte a settimana per le famiglie in vacanza
42enne impiegata di un ufficio pubblico a Sondrio, dopo presunte vessazioni da parte di una dirigente, è stata colta da malore lo scorso 25 giugno. Presentato dalla famiglia un esposto al questore
Sviluppate in Cina due nuove tecniche di editing genetico che permettono di modificare con precisione vaste porzioni di Dna (da migliaia fino a milioni di 'lettere' del codice genetico) per manipolare i cromosomi senza lasciare traccia , sia nelle cellule …
Fine settimana di lavoro per i tecnici: a Buglio in Monte soccorso un 36enne scivolato nel bosco, mentre a Tartano due 24enni sono stati recuperati dopo essersi persi di notte lungo il sentiero per il bivacco Rovedatti
Proseguono gli accertamenti sulla morte del 63enne, residente a Galbiate, trovato in avanzato stato di decomposizione nella sua casa in via Sant’Alessandro. La comunità è scossa, mentre restano aperti gli interrogativi sul ruolo del fratello convivente